審美歯科
ホワイトニング
ホームホワイトニング
歯の型に合わせて作成したトレーの内側に薬剤を塗り、1日1回2時間ほど装着して、歯の色自体を白くしていく方法です。広範囲の歯の色調を変えるのに適しています。
生活習慣(喫煙、コーヒー、紅茶などの嗜好)などにより色調が後戻りする場合もあります。(保険は効きません)
※歯の状態により適応、非適応がありますので詳しくはご相談下さい。
※歯の状態により適応、非適応がありますので詳しくはご相談下さい。
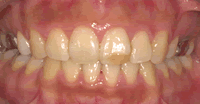
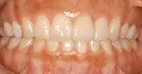
【歯科治療前】
(色見本参考に)
(色見本参考に)
【1】トレーを作成
【2】 薬剤を塗る
【3】装着
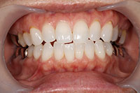
【歯科治療後】
オフィスホワイトニング
歯科医院にて行うホワイトニングで、専用の薬剤を歯に塗布して短時間で歯を白くする方法です。
施術時間は約1時間で2回行っていきます。
※生活習慣(喫煙、コーヒー、紅茶などの嗜好)などにより色調が後戻りする場合もあります。
※歯の状態により適応、非適応がありますので詳しくはご相談下さい。
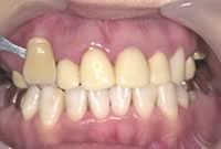
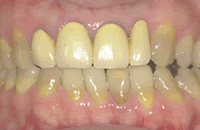
【歯科治療前】
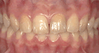
【歯科治療後】
ラミネートベニヤ
歯の条件によっては歯を削る割合が一番少ない方法です。エナメル質の表側だけ0.8~1ミリ程度削り、削った部分のみセラミックスの歯を貼り付けるものです。材質はセラミックスなので変色がなく光沢があります。金属を使わないため、仕上りが自然で歯ぐきの変色もありません。ただし、保険は効きません。
噛み合わせによっては剥がれることがありますが、壊れていなければそのまま付け直す事ができます。
上の前歯6本歯科治療の場合
メタルボンドとセラミックス
保険外で、歯科保険診療の歯のように材質に決まりがありませんので、見た目よく作ることができます。
内面に金属を使い強度を保ち、外面全体にセラミックスを焼き付けて作ります。色調が自在にでき、周囲の歯に合わせて自然な感じを出すことができます。
光沢があり変色することがないので、歯の内部の異常や歯周病がなければ、ほぼ永久的に使えますが、噛み合わせ、外傷等により欠けたり壊れることがありますので、ご注意ください。
失活歯の漂白
神経を取った歯に使う方法で、歯の裏側から穴をあけて薬剤で内面から漂白していきます。 薬を交換しながら、色調の変化を見ていきます。(回数には個人差があります)
【歯科治療前】
【歯科治療後】
