矯正歯科
歯並びを良くして健康に
矯正は一般的に保険が効かない歯科治療なので高額ですが、歯磨きなど日々のお手入れがしやすくなるので、歯や歯周組織を健全な状態で維持することができます。
見た目の問題だけでなく、お口の健康にもおすすめな歯科治療方法です。
歯を動かすために歯ぐきの中に隠れている骨から型作っていきますので、時間も通常は年単位でかかります。器具を外した後は、後戻りを防ぐために着脱式の器具を一定期間つけて経過をみます。
個人差がありますので、より詳しく知りたい方は直接ご相談ください。
矯正治療の流れ
- 歯科相談(無料)
- 資料採取・レントゲン撮影
(セファロ撮影)
・歯型とり
・口腔内写真 - 歯科診断(無料)
- 歯科治療開始・矯正装置装着
・後戻り防止装置装着 - 経過観察
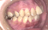
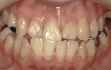
症例1/前歯が出ているのが気になる
【歯科治療前】
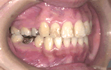
【歯科手術中】
(器具を取り付けた状態)
(器具を取り付けた状態)
【歯科治療後】
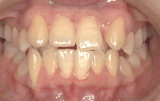
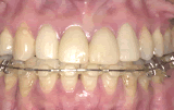
症例2/歯並びがでこぼこしている
【歯科治療前】
【歯科手術中】
(器具を取り付けた状態)
(器具を取り付けた状態)
【歯科治療後】
症例3/応用編
矯正歯科治療とかぶせものの歯科治療を併せて行った例です。
歯科の治療は想像するよりもいろんな技がありますから、悩んでいるよりまずお気軽にご相談ください。
【歯科治療前】
【歯科治療後】
